La discrétion d’un appareil orthodontique est un élément majeur de décision qui est donc à prendre en compte, à tout âge.
Alignement dentaire invisible
Le Dr DELANOS MENANTEAU et son équipe vous accompagne pour retrouver un sourire esthétique et fonctionnel.
Un sourire harmonieux est un atout important pour la santé et le bien être. Des dents bien alignées contribuent à une meilleure mastication, une élocution plus claire et une meilleure santé bucco-dentaire. Elles permettent également d’avoir un sourire plus esthétique et plus confiant.
Quelle technique d’alignement est utilisée au cabinet du Dr DELANOS MENANTEAU ?
La technique utilisée au cabinet est l’alignement par les gouttières invisibles Invisalign . Cette technique d’alignement est une alternative esthétique aux appareils traditionnels. Des gouttières en plastique sont réalisées sur mesure pour déplacer progressivement vos dents.
Quels sont les avantages de l’alignement dentaire ?
- Un sourire plus esthétique et harmonieux permettant de renforcer sa confiance en soi.
- Une meilleure mastication
- Une meilleure élocution
- Une meilleure santé bucco-dentaire : en effet le brossage de dents bien alignées est plus facile, moins de tartre s’accumule ainsi entre les dents.
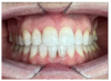
Cas clinique 1
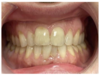
Cas clinique 2
ALignement, Blanchiment , Composite


