Eclaircissement dentaire
L’éclaircissement dentaire :
Le Dr DELANOS MENANTEAU et son équipe vous accompagnent pour retrouver un sourire plus lumineux.
Pourquoi ?
Avoir un sourire éclatant est un atout indéniable pour la confiance en soi. Mais avec le temps, les dents peuvent se tacher et jaunir, à cause de la consommation de certains aliments, du tabac, du thé ou du café, ou tout simplement du vieillissement naturel.
Le Dr DELANOS MENANTEAU vous propose une solution efficace et sûre pour retrouver un sourire lumineux.
Est-ce efficace ?
L’éclaircissement dentaire professionnel offre des résultats supérieurs aux méthodes de blanchiment à domicile. Il permet d’obtenir un éclaircissement visible et durable sur les dents, en éliminant les tâches et les décolorations en profondeur.
Quelle est la technique utilisée pour l’éclaircissement dentaire ?
Au cabinet du Dr DELANOS MENANTEAU nous réalisons les éclaircissements ambulatoires c’est à dire que le patient porte des gouttières à la maison.
Cette technique est totalement sûre pour les dents.
Description de la technique d’éclaircissement dentaire :
Il est impératif de réaliser un examen minutieux des dents et des gencives avant de réaliser un traitement éclaircissement dentaire.
Des photographies et des empreintes seront ensuite réalisées.
Lors du rdv suivant, des gouttières parfaitement adaptées seront remises au patient. La prise de dent initiale sera également réalisée afin de bien visualiser l’éclaircissement des dents au fur et à mesure des séances.
Le protocole d’éclaircissement sera expliqué au patient en détail.
Quelques précisions pour mieux comprendre la technique d’éclaircissement :
- La technique d’éclaircissement dentaire utilisée au cabinet a été validée scientifiquement. Cette technique est efficace et sans risque pour vos dents.
- La durée de traitement varie en fonction du degré de coloration initiale des dents et de la coopération du patient à porter ses gouttières.
- Les contre indications à l’éclaircissement dentaire concernent les femmes enceintes ou allaitantes ou les personnes présentant une allergie au peroxyde de carbamide.
- L’éclaircissement dentaire ne concerne que les dents. En effet, les restaurations existantes en bouche (couronnes, facettes, résines…) ne s’éclairciront pas.
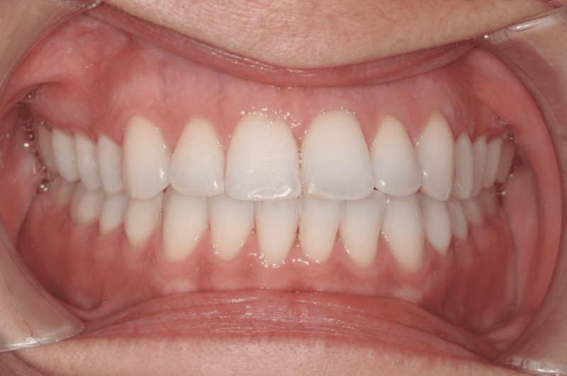
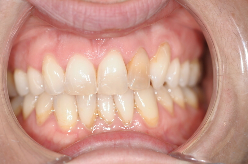
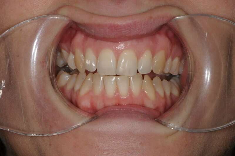
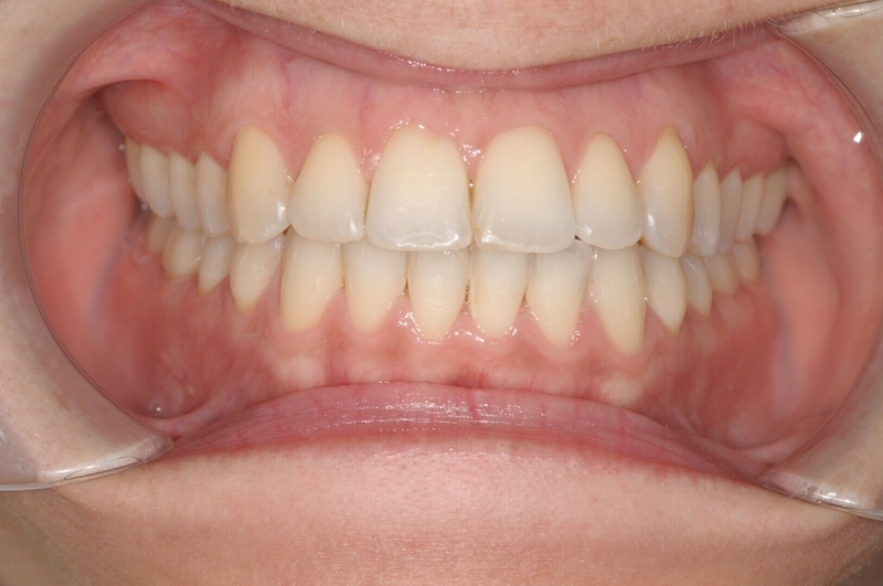
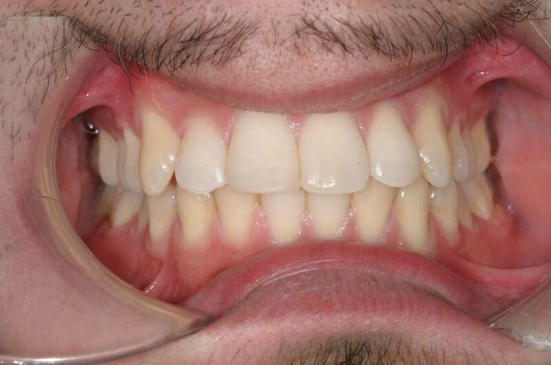
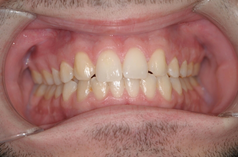
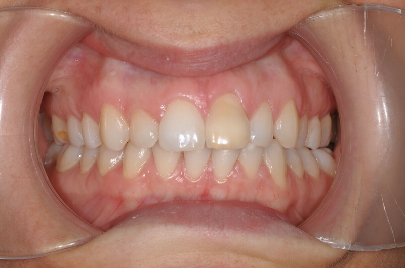
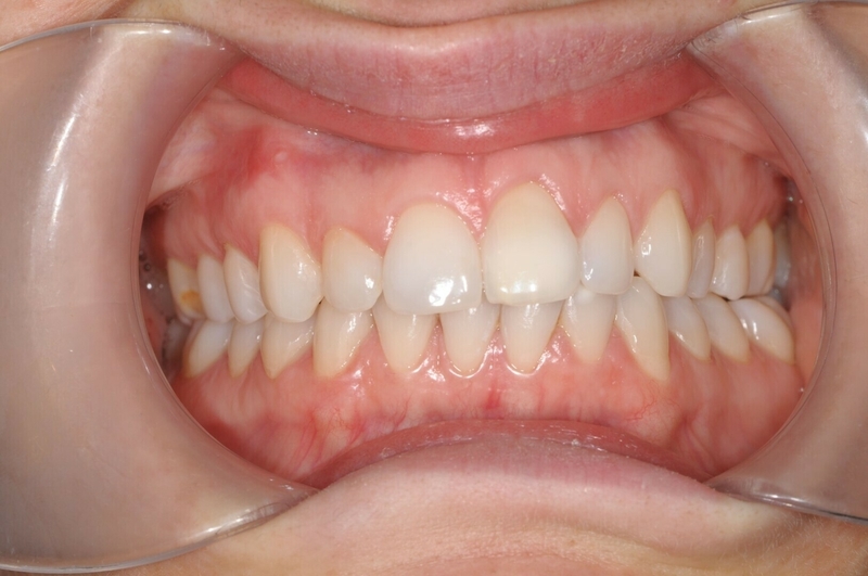
Tous les patients ci-dessous ont souhaité réaliser un traitement éclaircissant dans un but esthétique pour améliorer la teinte de leur dent .
Cas clinique 1
Cas clinique 2
Cas clinique 3
Cas clinique 4
Cas clinique 5
Éclaircissement dentaire unitaire
